 |
|
| |
|
|
|
 |
 |
|
| Antes |
Depois |
|
|
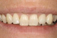
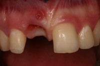
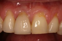
Paciente de 50 anos de idade. Recorreu ao nosso serviço para tratamento de patologia periodontal traduzida em perda de tecido ósseo e gengival que rodeia o incisivo lateral.
Esta paciente refere que tem vergonha de sorrir, razão pela qual se sente motivada para resolver o problema.
Após explicação de todas as possibilidades de tratamento, a paciente decidiu fazer a extração do dente em questão e substituição do mesmo através de implante dentário. Foi substituido o dente segundo um protocolo de carga imediata que permitiu a sua substituição no mesmo dia por uma coroa provisória fixa. A paciente pôde assim sair da clínica com um dente fixo apenas umas horas após a sua extração. |
| |
|
| |
|
|
|
 |
 |
|
| Antes |
Depois |
|
|
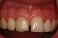
Paciente de 20 anos de idade apresentou-se no serviço de medicina dentária após traumatismo sofrido num jogo de hóquei. Durante algum tempo foi usada uma prótese removível de forma provisória.
O doente foi referido para a nossa clínica pelo seu dentista habitual após o aparecimento de uma fistula que traduz um quadro de infeção na raiz ainda presente.
Foi feita a substituição da peça dentária com recurso a prótese fixa suportada por implante dentário. |
| |
|
| |
|
|
|
 |
 |
|
| Antes |
Depois |
|
|
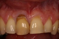
Paciente com 48 anos de idade compareceu no nosso serviço para substituir incisivo central fraturado após restauração e tratamento de canal efetuado há 12 meses.
A peça dentária foi substituida com implante dentário recorrendo a protocolo de carga imediata. |
| |
|
|
|
|
 |